大丈夫と思っていたら、むし歯が出来た!!!歯を磨いていたのに、なぜ!!
むし歯って、いったいどうしてなるの?その原因と予防方法は・・・
●15才 女子(中学3年生)

むし歯とは・・・このような原因で出来る
食後に発生し、歯の表面についてしまった歯垢(しこう・プラーク)の中に潜んでいるむし歯菌(ミュータンス菌・ラクトバチラス菌など)が、食後の口の中の糖分を分解し、酸を出し歯の表面のエナメル質を溶かしてしまった状態(歯の表面に凹の穴が出来る)をむし歯(齲触・う蝕歯・齲歯)と言う。
私たちの歯は飲食をする度にむし歯菌により歯面は一時的に酸性状態に陥り、エナメル質が溶かされミニむし歯(疑似むし歯)となります。飲食後に速やかにキチンとした歯磨きで歯垢を落とす事と唾液(アルカリ性)の力で酸性状態が中和され、溶かされ出したエナメル質は再び元に戻り修復され、ミニむし歯状態(疑似むし歯)は消滅し、歯面は健康な状態に戻ります。
しかし歯垢の付いたまま飲食や間食が頻回に繰り返されると酸性状態が長く続き、ミニむし歯(疑似むし歯)は修復されず健康な歯面(エナメル質)は酸に溶かされ続けやがて歯面に穴が空いて本当のむし歯になってしまいます。
むし歯(う蝕)のメカニズム
食事や糖分の含んだ飲み物を口にする度に、むし歯菌により歯の表面(エナメル質)は酸性状態になり、歯の成分であるカルシウムとリンが溶けだし、歯の表面から失われ出します。これを脱灰といいます。(疑似むし歯) 大体30分~40分くらい時間が経つと、アルカリ性物質である唾液の中和作用で溶かされ、失い出したカルシウムとリンは歯の表面に再び戻ります。これを再石灰化と言います。しかし、飲食の回数が多いと、歯の表面は酸性状態が長く続き再石灰化が遅れて、脱灰がどんどん進み、脱灰と再石灰化のバランスが崩れてむし歯が進行してしまいます。

歯垢(しこう・プラーク)は・・・
食後や、夜寝る前に歯を磨かないと、歯の表面や裏側を舌で触るとヌルヌルしたり、ザラザラした経験がありますね。実はそれが歯垢です。この歯垢は歯と同じような色をしているため、目立ちません。この歯垢が石灰化して、硬く歯に付着したのが歯石と言います。(歯垢と歯石は大量の細菌の住み家です)

健康な歯面と脱灰、再石灰中そしてむし歯の様子
「むし歯予防の原則」
- 磨き残しの少ない歯磨きが出来る(自分に合った歯磨きを身につける)
- 規則正しい食生活をする。(だらだら食いはしない、控えめの糖分摂取)
- フッ化物、キシリトール等の応用(フッ素入り歯磨き剤、キシリトールガム、リステリンなどの含嗽剤を積極的に使用する)
- かかりつけ歯科医院で年2~3回程度の定期的な予防処置と指導を受ける。

磨き残しのない歯磨きが出来るために・・・
磨き残しのない歯磨きが出来るためには、下図のように順序を決めて磨くと上手く磨けます。(スタートはどこからでもよいが、連続で磨くのがコツ)


清掃用具の色々
個々に合わせた歯ブラシ選びが大切
むし歯の修復治療剤
従来の金属で行う修復から審美的効果を目的とした硬質レジン修復を行った症例
継続的な管理指導(メインテナンス)を怠り再発し再治療したケース
症例
飲食回数が非常に多く、そのため脱灰される時間が長く、再石灰化が間に合わず、脱灰が進みむし歯になってしまった症例(糖分入り清涼飲料水を毎日3本以上お茶代わりに飲んでいた)その後徹底した歯磨き指導と規則正しい食生活に改めた後、修復処置を行った。
症例
75歳 男性 某歯科医院にて5~6年前に全体的に治療を受け治したが、その後定期健診は受けずそのままであった。普段よりあまり歯磨きはしておらず、その結果、むし歯と歯周病を再発した。 当院にてむし歯と歯周治療を行い、歯冠修復と義歯を新しく入れた症例。
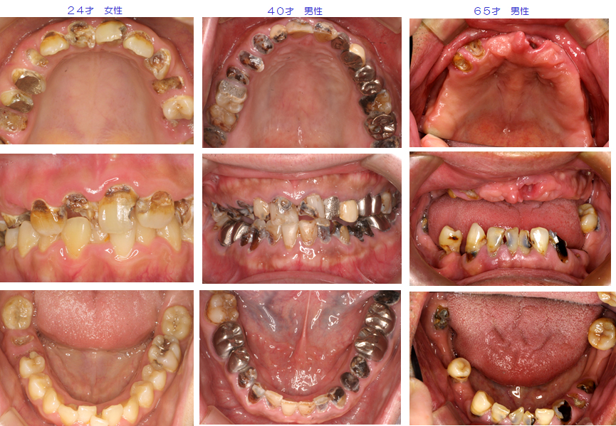
むし歯を放置した結果、破壊された口腔内
定期検診の受け方で差が出る10年間で失う歯の本数
このグラフは10年間で失う歯の数を示したものです。若い時から定期的な予防と指導を受けた方と、悪い時だけの治療で予防と指導を受けない方では年齢が上がるにつれてその差は大きくなっていることが分かります。
定期健診を受け続けることによって、お口の中を常に歯周病菌やむし歯菌などで病気が発症しないようにお口の環境を保ちながら、万が一発症しても早期に発見し、早期治療を行うことができます。そして このことが歯を失う本数を減らすことにつながっていくのです。私たちはあなたのお口の健康管理のためにお手伝い致します。








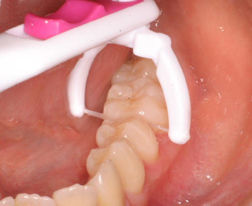
歯間ブラシ
歯間ブラシ
いろいろなフロス(糸楊枝)



口腔洗浄剤
フッ素・キシリトール入り歯磨き剤
キシリトール入りガム






