保護者の方へ
一生、健康な歯でおいしい食事や楽しい会話をし、思いっきり笑うことが出来たらどんなに幸せなことでしょう。
そのための最初の重要なステップが健康な永久歯列の完成です。
私たちはお子様の健康な永久歯列を守り育てるための力になりたいと考えています。
たとえ、乳歯が残念ながらむし歯になったとしても、その原因を科学的にきちんと見つけ、対応し、予防することでむし歯のない健康な永久歯列を完成させることは、決して難しいことではありません。むし歯もその原因も予防方法もわかっている病気です。但し、むし歯が出来てしまう条件は個人によって違いがありますので、個人のリスクに合わせた予防プログラムを作成し対応する必要があります。

歯は一生の財産です。
健康な永久歯列の完成は、
親から子への
最高のプレゼントです。
健康な永久歯列の完成は、
親から子への
最高のプレゼントです。
あなただけの「予防プログラム」をつくります。
この手帳は、あなたとご家族と歯科医院が協力して、あなたの歯をむし歯から守っていくための大切な記録です。わたしたち歯科医院では、あなたの
- むし歯にかかる危険度がどのくらいか
- むし歯に対する抵抗力がどれくらいあるか
- どんな食生活をしているか
- 家族の方々の歯の状態は
などを科学的に調べ、総合的に判断しながら、あなただけの「予防プログラム」を作り、実行していきます。一緒にがんばりましょう。
健康な永久歯列の完成をめざすために
むし歯をつくらないためには
問診、唾液検査(サリバテスト)や食事記録、口腔内の検査などから自分のむし歯のリスクを知りましょう- 検査結果の分析から作られた予防プログラムをきちんと実践しましょう
●プラークの取り残しの少ないみがき方を習得しましょう。
●規則正しい生活習慣、食生活は基本です。
●フッ素は必ず使いましょう(家庭と医院の併用が効果的です)
●むし歯は感染しますから、ご家族の方もお口のコントトールにつとめましょう - 定期検診を必ず受け、年齢に応じた専門的な指導と予防のための処置を歯科医師や歯科衛生士に行ってもらいましょう。
私たちの健康ノート




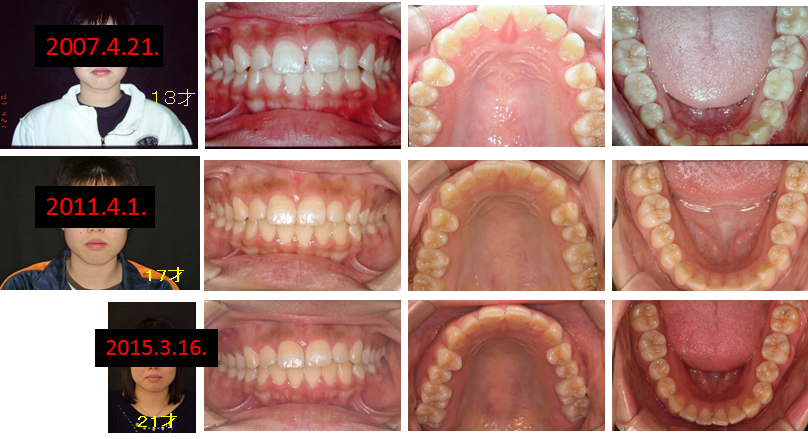
定期検診と予防処置を受けている子供の口腔内



就学児期から成人期までの15年間 メインテナンス成功症例(ノンカリエス達成)
H.Sさん 1994年生まれ 女子

唾液検査




